¿Qué es la enfermedad de Iselin?
La enfermedad de Iselin es un problema del crecimiento, que se da en niños entre 10 y 14 años 🧒👶. Es una apofisitis de la base del quinto metatarsiano, el lugar donde se inserta el tendón del peroneo corto. Su equivalente en la rodilla de la Enfermedad de Osgood –
¿Es muy frecuente ?
Se trata de una lesión frecuente pero poco diagnosticada. Puede confundirse con un esguince de tobillo, fractura de la base del quinto metatarsiano u os vesalianum.
Debe sospecharse en todo niño en período de crecimiento con dolor en sus pies, especialmente si entrena regularmente.
¿Quiénes tienen más riesgo de sufrir la enfermedad de Iselin?
Los niños que practican deportes cuando están en el período de crecimiento 🤾♂️⚽️🏃🏽♂️🚴🏽♂️🏌🏻♂️. Especialmente frecuente en el futbol.
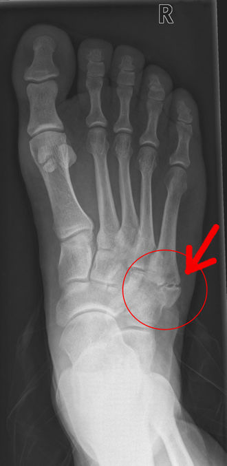
¿Cómo se diagnostica ?
El niño se queja de dolor, especialmente los días que practica deportes. El dolor puede ser más intenso en la noche.
Al examen físico se encuentra dolor a la palpación de la base del quinto metatarsiano. La radiografía es esencial para hacer diagnóstico diferencial con otras Patologías 🤔🤔. Es importante no confundir con una fractura,ni con una enfermedad congénita llamada os vesalianum. Para eso hay que hacer un examen físico cuidadoso y radiografía.

¿Qué es Os Vesalianum ?
Es una enfermedad congénita en la que el tendón del peroneo tiene un hueso sesamoideo, que puede parecer una fractura o un caso de Iselin.
¿Qué otras enfermedades pueden ocurrir en el pie del niño?
En el período de crecimiento puede también ocurrir la enfermedad de Sever.
Es muy semejante al Iselin, pero ocurre en el talón. He visto casos en que las dos enfermedades aparecen simultáneamente.

¿Cómo se trata la enfermedad de Iselin?
Se indican analgésicos, reposo e inmovilización . Es conveniente dejar las actividades deportivas por dos a tres semanas para que el hueso se desinflame. Se puede indicar una crema analgésica. Si el dolor es muy intenso se puede colocar una bota Walter o un yeso.
Es muy importante tratar adecuadamente esta condición, de lo contrario puede ocasionar una prominencia dolorosa del quinto metatarsiano en la edad adulta, que dificulte el uso de calzado 👞👞.
¿Cómo se trata la enfermedad de Iselin en un Adulto?
En los adultos es necesario modificar el calzado, también plantillas a la medida, con apoyo escafoideo, porque así se reduce la presión sobre el quinto metatarsiano. Excepcionalmente es necesaria la cirugía. Si se opera es necesario realizar la reinserción del tendón peroneo en la base del quinto metatarsiano.


PARA MÁS INFORMACIÓN SOBRE PROBLEMAS DEL PIE . SÍGUENOS EN NUESTRA PÁGINAS DE INSTAGRAM Y TWITTER @PIEYTOBILLO
Bibliografía que puedes leer del tema:
Iselin’ Disease – Apophysitis of the Fifth Metatarsal Base: Report of Two Cases
Siga nuestras redes:

